Typically, wisdom teeth are only extracted when they are causing or are likely to cause difficulties in the future. The wisdom tooth removal near me has no medically established health advantages. Furthermore, extracting your wisdom teeth can be painful and have negative repercussions.
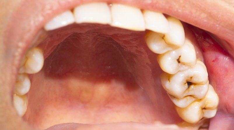
Wisdom teeth that do not erupt entirely do not create any problems. However, they can sometimes cause pain, edoema, tooth decay, or swollen gums. Other teeth may be pushed aside by impacted wisdom teeth. Wisdom teeth that appear through your gums may also induce issues.

At what age should people have a wisdom tooth extraction?
The wisdom tooth extraction near me is for people of all ages. But many dentists advise getting them out in your late teens or early 20s. Your wisdom teeth are still developing at this point, and they may be simpler to remove with a lower risk of problems.
What happens before wisdom teeth extraction?
The emergency dental near me will refer you to an oral surgeon for a consultation. The dental expert will inspect your wisdom teeth and take dental X-rays to identify their exact location during this dental appointment. They'll also discuss your sedative options with you. Depending on your particular needs, Wisdom Teeth Removal is often done under local anesthetic, IV sedation, or general anesthesia. You should disclose any drugs, vitamins, or supplements you are currently taking to your surgeon.
What happens during wisdom teeth removal?
After giving you sedation medication, your surgeon will provide you with a local sedative or anesthesia to numb your gums and teeth. Wisdom teeth that have been impacted can be removed with sufficient access, thanks to incisions. Your dental expert carefully pulls apart and removes the wisdom teeth from their sockets once they are visible, cleans the affected areas, and applies stitches afterward. The stitches will typically vanish on their own after some days.
What happens after extracting a wisdom tooth?
You might experience a little discomfort after removing your wisdom teeth and some bleeding and swelling. If you want to minimize these side effects, your dental surgeon will offer you treatment guidelines for your wisdom teeth. You'll be driven home by a friend or relative once your anesthesia has worn off sufficiently.
What are the advantageous factors of wisdom teeth removal?
The main advantage of having wisdom teeth extracted is that it lowers the risk of developing future oral health issues such as gum disease, tooth decay, damage to neighboring teeth, bone loss, and jaw injuries. A wisdom tooth extraction can instantly relieve pain if it has already occurred due to your wisdom teeth and can help you resume your path to excellent dental health.

How long does wisdom tooth removal recovery take?
Most people recover entirely in 3 to 4 days, but it can take a couple of weeks for your gums to heal completely. Your oral surgeon will provide detailed post-surgical advice and instructions to keep you comfortable and safe.
Conclusion
The above-provided facts and information will help you learn some beneficial details regarding wisdom teeth removal. For more informative updates, please visit dentisthoustontx.com.
Article source : https://www.healthymindz.com/when-do-dentists-need-to-remove-your-wisdom-tooth/
news feed
















































































































